Todo sobre las carillas dentales

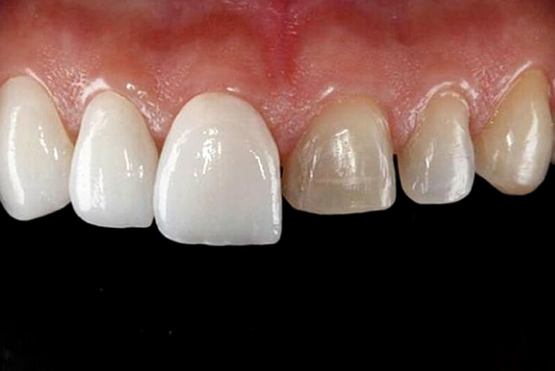
Las carillas dentales son unas láminas muy finas que se colocan en la parte frontal de los dientes y sirven para corregir la estética bucal. A continuación descubre todo sobre las carillas dentales…

Este tratamiento permite solucionar de manera muy rápida y eficaz defectos en la posición de los dientes, roturas en las piezas dentales o corregir la forma y el color.

¿Qué tipos de carillas dentales existen?

Existen diferentes tipos de carillas dentales, pero de manera general las clasificaremos según el material del que están hechas: carillas de composite y carillas de cerámica o porcelana.

  • Las carillas de composite están elaboradas con una resina sintética que se adhiere al diente y es moldeada y trabajada en el propio diente.
  • Las carillas de porcelana son de un material cerámico, más fuerte y resistente. Cada pieza se crea y diseña de manera personalizada para después ser pegada una a una en cada pieza dental..

¿Qué es mejor, carillas de porcelana o composite?

Los dos tipos de tratamientos persiguen el mismo objetivo: mejorar la estética de la sonrisa. Cada uno tiene sus características y aplicaciones, será el dentista quien tras conocer tu caso te asesorará sobre qué tipo de carilla es la más adecuada para ti.

carillas-composite-manresa

Carillas de composite

Es una solución más económica. Está indicada principalmente cuando la zona a restaurar es pequeña o no muy complicada. Como hemos indicado, se van diseñando en el mismo diente y no necesitan de fabricación previa por lo que en una sola sesión se pueden colocar las carillas.

Este tipo de carillas suelen ser menos invasivas, en muchas ocasiones no necesitan ni limar el diente. Sus desventajas son que tiene mayor probabilidad de fracturarse u oscurecerse que la porcelana, pero son fáciles de reparar. Suelen durar entre 5 y 7 años.

carillas-porcelana-manresa

Carillas de porcelana

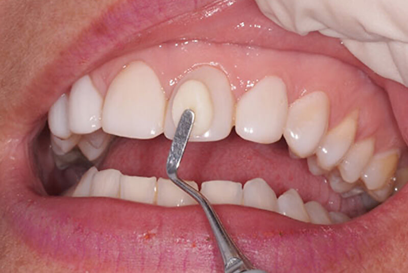
Tienen una gran serie de ventajas. Son sin duda las más resistentes. Para su colocación se necesita preparar levemente el diente, aunque con las ultrafinas puede no ser necesario alterar el diente natural.

Al ser fabricadas en el laboratorio necesitan de una visita más al odontólogo para su colocación, si las comparamos con las de composite. En caso de romperse se debe cambiar la pieza entera, aunque la rotura de las carillas de porcelana es poco habitual. Pese a que el coste inicial sea más alto, podremos tenerlas de forma casi permanente y con menos mantenimiento. Pueden estar intactas alrededor de 20 años, sin necesidad de retoques.

A tener en cuenta sobre las carillas dentales

En un tratamiento de carillas dentales se ha de tener en cuenta que las carillas son elementos que se crean a medida de cada paciente. Por este motivo, la experiencia del profesional será clave para lograr una sonrisa adecuada a cada persona y que cumpla con las exigencias individuales. Con el fin de conseguir la mejor sonrisa y la mayor naturalidad posible es muy importante estudiar cada caso y diseñar las carillas de forma totalmente personalizada.

En los últimos años, ya sea por influencias del cine, la televisión o las redes sociales, cada vez más personas quieren lucir una sonrisa perfecta. Por ello, no es de extrañar que las carillas dentales sean uno de los tratamientos estéticos más demandados.

Lo más importante, contar con un buen especialista en estética dental

Si estás pensando en lucir una sonrisa de cine no dudes en ponerte en contacto con nosotros. En Clínica Junyent contamos con especialistas en diseño de sonrisas con carillas.

Estaremos encantados de conocer tu caso y conseguir la sonrisa más adecuada para ti. Un procedimiento rápido, indoloro, eficaz y duradero. Consultanos para poder estudiar tu caso y diseñar una sonrisa perfecta y natural.

En nuestra clínica en Manresa realizamos los mejores tratamientos de carillas dentales